唏嘘!东莞25岁小伙年纪轻轻,就确诊肝癌晚期!这细节大家要注意…
东莞市滨海湾中心医院
收治了一名年轻的肝癌晚期患者
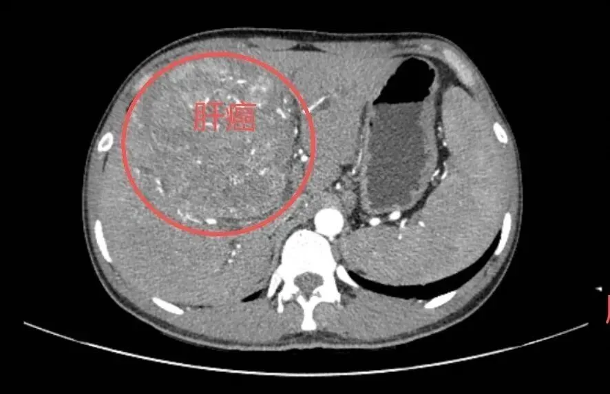
25岁小王(化名)的CT检查报告上
“肝脏巨大肿瘤”等字样
让人揪心不已
10年前
还是初中生的小王
在体检中查出“乙肝表面抗原阳性”
他觉得自己年轻没当回事
从未规律复查
也没主动咨询过专科医生
直到近期
持续的乏力、腹胀缠上了他
检查报告上的“肝癌晚期”
犹如晴天霹雳
……
小王的情况并非个例。
据统计,2024一2025年,
东莞市滨海湾中心医院感染科已筛查出
8例40岁以下的乙肝相关晚期肝癌患者,
其中2例还未满30岁。
这些患者的经历并非偶然,
背后藏着大众对乙肝认知的普遍漏洞,
最终将 “可防可控” 的慢性疾病拖成晚期癌症。

病毒性肝炎是全球重大公共卫生问题之一。
在我国,
乙型病毒性肝炎(简称“乙肝”)因高感染率、
慢性化风险及严重并发症,
成为威胁全民健康的重要挑战,
其病毒主要通过血液、母婴和性接触传播。
认为“乙肝病毒携带者是‘健康携带者’
不需要治疗”的观念已经过时了,
2022版《慢性乙型肝炎防治指南》
早已用“慢性乙肝病毒携带状态”,
取代了“健康携带者”这个说法。
来源:健康广东、东莞市滨海湾中心医院、广东省人民医院、中山大学附属第三医院等