课程费用:3300元 注:课前半个月报名3000元(老学员2800元)一、课程主讲老师:
1、种植的概述;种植的过程、种植修复的意义、种植诊疗流程、骨结合定义
2、多种种植系统介绍
3、种植体的选择;长度、直径、数目
4、骨质评价;骨密度分类、骨量不足解决方案
5、手术工具
6、口腔种植的解剖基础
7、种植影像学分析;可以获得骨高度 ,骨宽度信息 ,甚至可以模拟种植体植入位点
8、诊断及治疗计划
9、种植模型手术操作
10、数字化种植导板
11、精准种植;单颗前、后牙的理想植入位点
12、切开与缝合技术
13、术前准备
14、可能的并发症;种植体失败的种类,术中、术后并发症,早期、后期种植体失败
15、修复引导的种植治疗设计
16、种植二期手术
17、种植修复基本概念和修复的种类
18、种植修复印模
19、覆盖义齿的选择
20、基台的选择
21、种植修复临床试戴到种植牙粘结完成
22、整体内容以失败病例开头到种植牙完成,开展进行一系列,系统性讲解
四、课程操作内容:
1、CT测量操作(学员要自带电脑)
2、切口设计(前后牙操作)
3、缝合(多种缝合操作包括骨膜缝合固定)
4、后牙常规种植(模型和骨头操作)
5、前牙迷你种植(模型和骨头操作)
6、多颗牙种植(模型)
7、单颗种植牙取模(操作)
8、单颗牙修复戴牙(螺丝固位与粘接固位演示)
五、招生信息
• 主讲老师:吴巍
• 课程安排:翁胜杰
• 课程策划:马雪红
报名流程:加微信、提供姓名电话、付款后进微信群全部报名的都在一个群、选进群后就报名成功。
• 咨询电话:18589079952 翁胜杰
• 付款方式:
1.支付宝 账号13421992294
2.微信支付
3.银行转账
对公账户
2011025609200019589
账户名:协力创口腔医学技术(中山)有限公司
银行名:中国工商银行股份有限公司中山湖滨支行
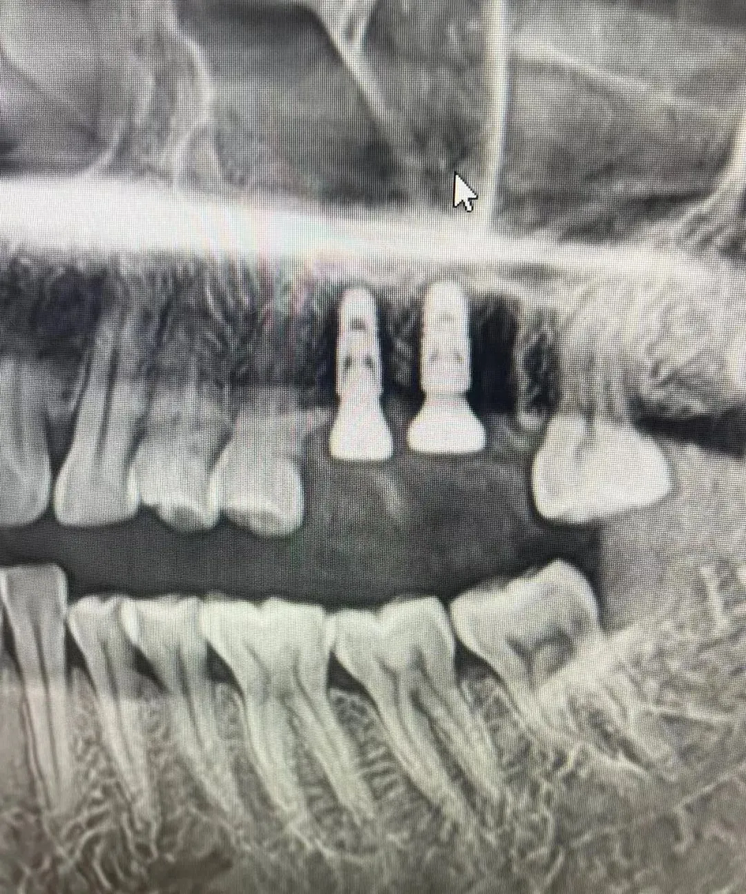
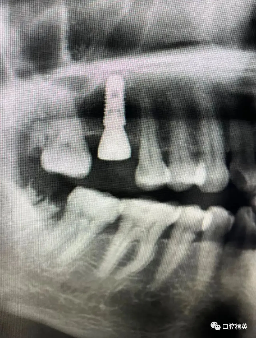
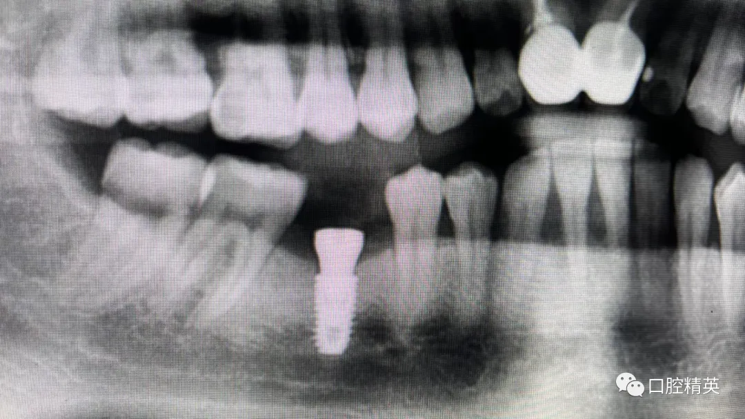
六、学员回家后部分病例
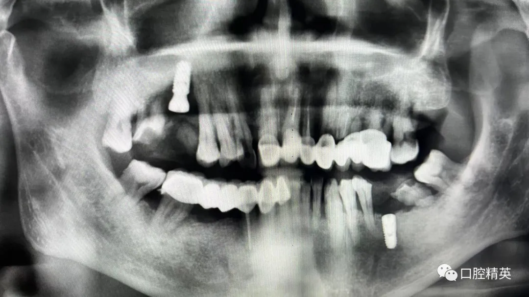
七、种植初级往期期部分培训影像








