
一杯白酒下肚
一时糊涂吞下150片药
24岁的林浩(化名)
近日险些因此丢掉性命
150片药下肚
男子洗胃后陷入昏迷
不久前的一天,凌晨1点,林浩的姐姐推开房门,看到瘫在床上意识模糊的弟弟,以及床头柜上空空如也的药瓶,瞬间慌了神。她立刻将林浩送往北大深圳医院急诊科,此时距离林浩服药已过去3小时。
急诊室内,林浩精神萎靡、嗜睡,浑身酒气刺鼻。值班医生结合症状与临床经验,判断其为药物中毒,迅速启动急救流程——留置胃管、反复洗胃吸出混着药渣的胃内容物,同时开展补液、护胃、导泻等治疗。所有人都以为,常规洗胃后就能挽回林浩的生命,可意外接踵而至:他的意识不仅没有好转,反而从嗜睡陷入昏迷,送检的血药浓度结果更是远超重度中毒阈值。

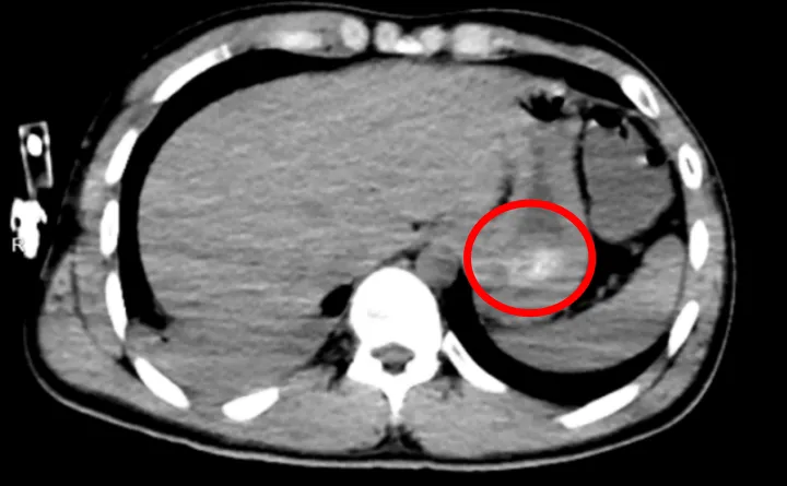
“服药已超14小时,血药浓度却持续升高,这不符合常规药物吸收规律。”北大深圳医院中毒快反团队迅速警觉,经全腹CT检查证实,林浩胃底存在大量团块状高密度影,也就是常规洗胃无法清除的“药石”,同时胸部CT显示其双肺出现渗出性病变,已引发吸入性肺炎。“罪魁祸首就是胃里持续释放毒性的药石,叠加吸入性肺炎,随时可能导致多器官衰竭。”急诊科副主任杨莹解释。
43分钟拆毒
多学科协作击碎“致命药团”
情况危急,中毒快反团队立即联合EICU医务人员、消化内科组建MDT团队,敲定“胃镜下取药石”的救治方案。家属果断同意后,林浩被转入EICU,全麻行气管插管保护气道。
消化内科医生吴博达在床旁开展内镜操作,镜头下,食管管腔布满黄色药渣,胃底被一大团质软易碎的药石堵得严严实实。“既要彻底清除药渣,又要避免将碎药片冲进肠道加速吸收。”吴博达凭借精准手感,用圈套器捣碎药团,再以生理盐水反复冲洗、抽吸。捣碎、冲洗、抽吸,同样的动作重复43分钟,直到内镜下无任何药渣残留,才完成这场“拆毒”手术。
术后第二天,林浩神志彻底清醒,血药浓度逐步下降至安全范围,住院3天后便康复出院。
据了解,北大深圳医院中毒医疗救治基地每年接诊上百例口服药物中毒患者,精神类药物、安眠药过量占比最高,其次是降压药、降糖药误服。而林浩混着白酒吞服的行为,更是雪上加霜。药物中毒急救存在诸多误区,大众需提高警惕,别让救命药变“催命符”。对此,专家特别梳理三大常见误区,提醒大家规避:
误区一:药物中毒,催吐就够了
盲目催吐是最危险的操作。对于意识模糊的患者,催吐易导致呕吐物误吸入气管,引发窒息或吸入性肺炎;即便意识清醒,自行催吐对缓释制剂、大量片剂等情况也无效,还可能损伤食道、胃黏膜。
误区二:只有头孢配酒才会出事
“头孢配酒,说走就走”并非唯一风险。安眠药、抗抑郁药、降压药、降糖药、抗过敏药等与酒精同服,都会引发严重后果。酒精会加速药物吸收、加重中枢抑制,可能导致呼吸抑制、心跳骤停。林浩酒后吞药,正是酒精与药物协同作用,加快了意识障碍进展。
误区三:家中药物随便放没关系
老人视力不佳易误服过量药物,孩子可能将彩色药片当“糖豆”误食。一片降糖药、降压药,对幼儿而言就可能致命。专家建议,药物需分类存放、标注清晰,放在老人和儿童够不到处,定期清理过期药物。
发现药物服用过量
这样做才正确
医生提醒,如果发现他人过量服药,先确保环境安全,轻拍呼喊判断意识,立即拨打120并说明症状,保留药瓶、残留药片。对于意识不清者,让其侧卧,清除口腔残留药物,严禁喂食喂水,等待急救人员。对于意识清醒者,应询问服药时间、剂量,保留药瓶、呕吐物,催吐需遵医嘱。需要注意的是,切勿盲目喝牛奶、鸡蛋清,也不要随意服用解毒药,需由专业医生判断。
福利时间
中考倒计时
紧盯模考排名,却忽略了成长方向?
研读中招政策、纠结志愿填报
家长比孩子更焦虑
……
为了回应广大家长您关切
小晚将给你带来一场福利讲座!
免费听讲,公益科普!
4月11日14:00
深圳报业集团特区报礼堂举行
扫描下方二维码
进入此次讲座专属家长群
即可免费预约席位(席位有限)

— 深小晚特选 —



