
又或者,吃得太急太猛
63岁的张叔
就是其中一位
他怎么也想不到
两个复热的叉烧包
竟让他半只脚踏进了鬼门关
张叔是山西人,长期在深圳居住。不久前,亲戚来深探亲,一家人特意去吃了顿广式早茶。中午点的那笼叉烧包没吃完,他舍不得扔,打包带回了家。
起初,一切看似平常。吃完没多久,他跑到厕所吐了一次,当时只觉得是肠胃不舒服,吐完就缓了过来,没太当回事。到了晚上7点多,他把打包的叉烧包热了热,就着粥吃了两个。
可没过多久,一阵剧烈的呕吐感再次涌上来。这一次,吐完的瞬间,他的胸口像被炸开了一样,剧痛瞬间席卷而来。
“不是普通的胃疼,是整个胸口、肚子都痛,半边背连带着腿都跟着痛,痛得我直接瘫在地上,起都起不来。”张叔回忆道。
老伴吓得赶紧拨打了120。当晚7点多,他被紧急送到就近医院。胸片结果很快显示:左侧胸腔大量积液。止痛针打了,积液引流做了,但疼痛丝毫没有止住。更糟糕的是,张叔的状态越来越不稳定,眼看就要陷入休克。
凌晨2点,他被紧急转送到北京大学深圳医院。此时,他还不知道,自己的食道,已经在剧烈的呕吐中裂开了一道长达10公分的口子,胃里的食物和胃酸,正源源不断地漏进胸腔里。
多问一句话
从死神手里抢回一条命
转院到医院时,距离张叔发病已经过去了7个小时。值班医生接诊后,初步查出了左侧胸腔积液、剧烈胸痛和循环不稳,但具体病因仍是个谜。
第二天早上8点的晨会交班,胸外科主任刘继先听完病例汇报,敏锐地捕捉到了一个细节。他多问了一句:“这个病人,发病前有没有呕吐?”
“有!吃完包子之后吐了两次,吐完就开始痛了。”值班医生的回答,让刘继先瞬间绷紧了神经。
很快,口服钡餐的结果印证了他的判断:钡剂从食道下段的裂口处大量漏出,直接进入了左侧胸腔。

自发性食管破裂,也称为Boerhaave综合征,是胸外科最凶险的急症之一,发病急、进展快、死亡率极高。而此时,距离张叔发病还不到24小时——这是救治的黄金窗口期。

图源:腾讯医典
“这个病,最关键的从来都不是手术,而是及时确诊。只要诊断明确了,后续的治疗就有方向了。”刘继先主任解释,一旦超过24小时,食道管壁会严重水肿、糜烂,变得像泡发的棉花套一样,根本无法缝合修补。
呕吐后胸痛
为何极易被误诊?
在人体的消化系统里,食道是一条连接咽喉与胃的肌性管道,平时处于闭合状态,管壁很薄。
刘继先主任用最通俗的话解释了这场急症的发病逻辑:人在剧烈呕吐时,会下意识地憋气,声门紧紧闭合,腹腔压力瞬间飙升。胃里的容物被高压推着往上冲,可上面的出口堵着,所有压力都集中在食道管壁上。
刘继先说,如果患者本身食道黏膜就有薄弱之处,高压之下,食道便会瞬间全层破裂。
破裂后的场景是灾难性的。胃里的食物、强腐蚀性的胃酸和消化液,会顺着裂口直接漏进密闭的胸腔,在短时间内引发严重的胸腔感染,进展为脓胸、脓毒性休克。哪怕在医疗技术成熟的今天,这种情况的死亡率依然超过50%。
更可怕的是它极高的误诊率。临床上,自发性食道破裂的首诊误诊率高达70%-80%。因为食道位置隐蔽,破裂后的剧烈胸痛、腹痛,与急性心梗、胃病、急腹症的症状太过相似。
大多数患者发病时,只说自己胸口痛、肚子痛,不会特意想起自己呕吐过,而首诊医生也容易忽略这个关键细节,从而错过最佳救治时机。

图源:腾讯医典
多学科联动
10公分裂口被成功修补
面对这一凶险急症,北京大学深圳医院第一时间启动急危重症绿色通道,由胸外科主任刘继先统一指挥,迅速集结多学科骨干力量,制定抢救方案。
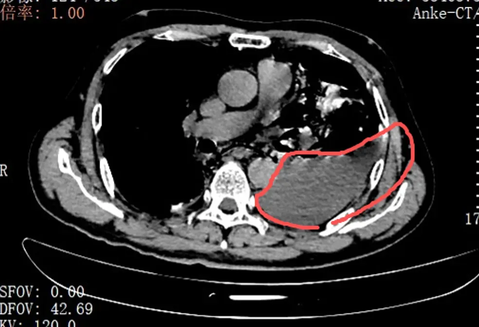
当天,手术团队为张叔实施了胸腔镜下食道修补微创手术。打开胸腔的那一刻,在场的医护人员都愣住了:整个左侧胸腔里,全是叉烧包的菜叶子、食物残渣,混着脓液和消化液,到处都是。

红圈区域是食物残渣、消化液破入食管
手术团队拿着吸引器,一点点清理、冲洗,花了很长时间才将胸腔里的每一点食物残渣都清干净。随后,团队找到了食道下段那道长达10公分的裂口,用可吸收线小心翼翼地完成了分层修补。
术后,张叔在ICU接受了24小时的密切监护。在医院度过一整个春节后,他的食道修补处愈合得非常好。医生查房时,张叔正坐在病床上吃包子,一顿能吃四个。近日,他已顺利出院。
刘继先主任叮嘱他:“吃包子可以,一定要多嚼几口,配着汤水慢慢吃,千万别再干噎着了,我给你缝得再结实,也经不住你这么使劲噎。”张叔不好意思地笑了,表示以后吃东西,再也不敢狼吞虎咽了。
医生提醒:
这两个信号
千万别不当回事
在高速运转的生活里,狼吞虎咽、暴饮暴食、酒后催吐这些看似平常的行为,背后都藏着风险。
大多数人都知道,吃东西呛到气管里会致命,却不知道,剧烈呕吐也会把食道吐破。呕吐后出现剧烈胸痛,很多人第一反应都是忍忍,或者去挂消化科、心内科,忽略了要去胸外科排查食道的问题。
医生在此提醒
日常进食一定要细嚼慢咽,避免干噎、暴饮暴食,呕吐时尽量不要强行憋气,减少食道承受的瞬间高压。
只要是剧烈呕吐后,出现了持续不缓解的剧烈胸痛、腹痛,要尽快去医院急诊,并且主动告诉医生“我呕吐过”。这是排查自发性食道破裂最关键的线索,或许能在关键时刻,救自己一命。

(大象文创袋、大象订制背包,二选一)
奖项设置
点赞奖:文章点赞量前5名
分享奖:文章分享量前5名
参与方式:1.关注本公众号;2.在活动周期内(每15天一期)为公众号发布的文章点赞(点赞越多,获奖几率越大);3.分享公众号文章(分享越多,获奖几率越大)。
结果公布及领奖规则:每月的1日及16日,获奖名单将在公众号菜单栏“热门”——“本期获奖”中公布,中奖者需在48小时内私信联系客服领取,逾期视为放弃。


