
朋友们
话不能乱说
药更不能乱吃啊!
深夜
24岁的林浩(化名)和朋友聚餐
散场回家后
在酒精带来的意识昏沉里
他吞下了一大把药:
整整150片!
死亡的阴影
开始一步步逼近……
一把吞下150片药
24岁男子洗胃后昏迷不醒
林浩的异常,是姐姐最先发现的。
凌晨1点,她推开林浩的房门,看到瘫在床上意识模糊的他,和床头柜上药瓶——此刻全空了。
慌了神的姐姐来不及多想,立刻将林浩送往北京大学深圳医院急诊科。
此时,距离他服药已经过去了3小时。
林浩精神萎靡、嗜睡,回应越来越弱,浑身的酒气在密闭的抢救室里格外刺鼻。
急诊值班医生根据姐姐的描述和临床经验,判断林浩已经达到药物中毒的剂量,第一时间启动急救流程:
留置胃管、用生理盐水反复洗胃,吸出大量混着药渣的胃内容物,同时给予补液、护胃、导泻治疗...

图源:腾讯医典
所有人都以为,在常规洗胃结束后,就能把林浩从鬼门关拉回来,可意外还是发生了。
他的意识不仅没有好转,反而持续恶化——从嗜睡陷入昏迷。
同时,紧急送检的血药浓度结果出来,所有人都倒吸一口凉气:血药浓度远超中毒阈值,达重度水平。
“不对劲。” 北京大学深圳医院中毒医疗救治基地快速反应团队(以下简称“中毒快反团队”)立刻警惕了起来。
常规来说,口服药物经胃肠道吸收入血,血药浓度会在服药后1-2小时达到峰值,随后逐渐下降。
可林浩服药已经超过14小时,血药浓度不仅没降,还在持续升高,意识障碍不断加重。
这只有一种可能:药物没有被完全排出体外,仍在胃肠道里持续释放、被人体吸收。
可已经做了充分洗胃,为什么还会出现这种情况?
中毒快反团队立刻做出判断:一次性吞服超百片药物,大概率在胃内形成了常规洗胃无法清除的“药团”,也就是临床所说的“药石”。
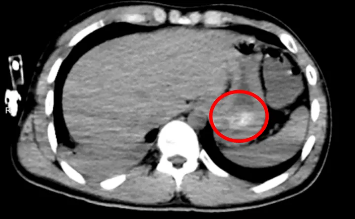
全腹CT结果验证这一判断:他的胃底可见大量团块状高密度影,正是那团凝结的药物;同时,胸部CT也提示,双肺出现渗出性病变,右肺下叶尤为严重,已经出现了吸入性肺炎。

也就是说,导致林浩昏迷不醒的——正是胃里还在持续释放毒性的药团,再叠加吸入性肺炎。
如果不能尽快清除药团,多器官功能衰竭、死亡将接踵而至。
藏在胃里的毒药库
常规洗胃根本清不掉
“很多人都以为,药物中毒只要洗胃就万事大吉,这是个误区。”北京大学深圳医院急诊科副主任杨莹解释道。
一次性吞服超过50片片剂,尤其是缓释、控释剂型的药物,在胃酸、胃黏液的共同作用下,极易相互粘结,形成质地坚硬的药石。
而林浩混着白酒吞服的行为,更是雪上加霜:
酒精不仅会加速药物吸收,让中枢抑制的效果翻倍,中毒症状来得更快更猛,还会抑制胃的蠕动,延缓药物排出,给药石的形成创造了完美的条件。
等到中毒快反团队介入时,林浩胃里的药石已经基本成型。
常规洗胃管的孔径有限,只能抽出粉末状、小颗粒的药物残留,对于这种凝结成块的药团根本无法触及。
而这颗留在胃里的药石,就像一个埋在胃里的“缓释毒库”,会持续不断地向胃肠道释放药物,被人体吸收入血,导致患者血药浓度居高不下,中毒症状持续加重,甚至突然恶化。
呼吸抑制、多器官损伤、心跳骤停的风险都在飙升。
50次反复冲洗
43分钟清空致命药团
情况危急!
中毒快反团队立刻联合EICU、消化内科,多学科团队(MDT)紧急集结,最终敲定了救治方案:胃镜下取“药石”,从根源上掐断毒物的释放。
中毒快反团队成员关媛医生与家属沟通后,家属果断同意治疗方案,林浩被立即转入EICU,全麻下行气管插管保护气道。
消化内科医生吴博达推着可移动内镜设备,直接在林浩床旁开展操作。
内镜顺着食道缓缓送入,镜头里的画面让所有人都心头一紧:
食管管腔里遍布黄色药渣残留,胃底更是被一大团质软易碎的黄色团块堵得严严实实,那正是150余片药凝结成的“药石”。

吴博达先通过内镜操作通道送入圈套器,把坚硬的大团块一点点捣碎,再用生理盐水反复冲洗、抽吸。
捣碎、冲洗、抽吸,再捣碎、再冲洗、再抽吸。同样的动作,反复做了43分钟,直到内镜下再也看不到明显的药渣残留。
术后第二天,林浩的神志彻底清醒,顺利拔除了气管插管,血药浓度逐步下降至安全范围,住院3天后,便康复出院。
这些中毒误区
每个人都可能踩中
在北京大学深圳医院中毒医疗救治基地,每年都会接诊上百例口服药物中毒的患者,其中占比最高的,就是精神类药物、安眠药过量,其次是降压药、降糖药的误服。
而这场生死抢救背后,藏着的是大众对药物中毒的普遍认知误区,每一个都可能致命。
误区1:药物中毒,催吐就够了
盲目催吐,是药物中毒急救中最危险的操作。
很多人发现有人误服或过量服药后,第一反应是抠喉咙催吐,但对于意识已经模糊的患者,催吐会导致呕吐物误吸进入气管,引发窒息,或是像林浩这样出现吸入性肺炎,反而加重病情。
哪怕是意识清醒的患者,也不建议自行催吐,尤其是服用了强酸强碱、缓释制剂、大量片剂的情况,催吐不仅无效,还可能造成食道、胃黏膜的二次损伤。
误区2:只有头孢配酒才会出事
很多人都知道“头孢配酒,说走就走”。
却不知道,除了头孢类抗生素,安眠药、抗抑郁药、降压药、降糖药、抗过敏药等绝大多数药物,和酒精同服,都会引发严重后果。
轻则加速药物吸收,让药效翻倍、不良反应加重,重则直接导致呼吸抑制、心跳骤停、多器官衰竭。
林浩酒后误吞的情况,酒精不仅加速了药物吸收,还和精神类药物产生协同作用,让中枢抑制的效果呈指数级上升,直接加快了他意识障碍的进展。
酒后不服药,服药不饮酒——这是要刻在心里的红线。
误区3:家里的药随便放没关系
临床中,最常见的就是老人和儿童的误服。
很多家庭没有妥善保管药物的习惯,降压药、降糖药、安眠药、精神类药物,随手放在餐桌上、茶几上,老人视力不好,很容易吃错剂量、吃错药物;孩子好奇心重,会把彩色的药片当成糖豆误食。
“对于成人来说的常规剂量,对孩子来说,可能就是致命的。”关媛医生提醒,一片降糖药、一片降压药,就足以让一个幼儿出现严重的低血压、低血糖,甚至危及生命。
家中药物一定要分类存放、标注清晰,放在老人和孩子够不到的地方,定期清理过期药物,从根源上避免误服风险。
口服药物中毒急救法
建议收藏!
发现药物过量,现场初步处理,做好这几点——
确保现场环境安全,轻拍患者双肩大声呼喊,判断其意识是否清醒,同时立即拨打120,说明患者症状,保留药瓶、残留药片,就近送往有救治能力的医院。
✎意识不清者:让患者侧卧,戴手套清除口腔残留药物,防止呕吐物堵塞气管;严禁喂食、喂水、喂药,静静等待急救人员。
✎意识清醒者:询问服药时间、剂量,保留药瓶、呕吐物等带往医院;催吐需遵医嘱,切勿自行操作。
两大禁忌:不要盲目喝牛奶、鸡蛋清(对脂溶性毒物会加速吸收);不要随意用解毒药,需由专业医生判断。
林浩出院的那天,深圳的阳光很好,他跟着朋友走出医院大门,反复和医护人员说着感谢,语气里满是后怕。
没人能想到,一场普通的朋友聚餐,几杯白酒下肚,一次昏沉中的误服,差点让他付出生命的代价。
很多人总觉得,药物中毒、误服意外离自己很远,却不知道,危险往往就藏在那些习以为常的疏忽里:随手放在桌上的药瓶、酒后随手拿起的药片、觉得“多吃一片好得快”的擅自加量、明知故犯的“吃药喝一点酒没事”。
转发扩散
提醒更多人!
🏃🏃🏃
*有什么想说的,欢迎给我们留言哦*
👀
南方都市报(nddaily)、深圳大件事(nandusz)报道
来源:北京大学深圳医院
编辑:张盼梅

连日卖爆!20天净赚10多万!深圳00后职校生宿舍里AI创业,已被投资方盯上▽