当前位置:首页>深圳>【肝类器官】深圳市第三人民医院HBV研究新突破:人源肝类器官完整模拟病毒生命周期,慢性乙肝建模迎来"替身"时代

【肝类器官】深圳市第三人民医院HBV研究新突破:人源肝类器官完整模拟病毒生命周期,慢性乙肝建模迎来"替身"时代

  • 2026-04-07 22:40:52
【肝类器官】深圳市第三人民医院HBV研究新突破:人源肝类器官完整模拟病毒生命周期,慢性乙肝建模迎来"替身"时代

2026年3月,深圳市第三人民医院团队在期刊《BioScience Trends》(IF:5.0)在线发表题为:Modeling of the hepatitis B virus life cycle and the efficacy of antivirals in human iPSC-derived hepatic organoids 的高水平研究论文。

1

abstracts

乙型肝炎病毒(HBV)感染仍然是全球重大的健康负担,约有2.96亿人受到影响。然而,由于缺乏生理相关且可持续的体外模型,机制研究和抗病毒药物开发方面的进展有限。

本研究建立了一种由人诱导多能干细胞(hiPSC)衍生的多谱系肝类类器官系统,该系统能够稳健地支持HBV完整生命周期,包括病毒入侵、复制、共价闭环DNA(cccDNA)形成、抗原分泌以及具有感染性的子病毒产生。这些类器官表现出稳定的牛磺胆酸钠共转运肽(NTCP)表达,这是HBV入侵的关键受体,并且在感染条件下长期存活至少20天,持续分泌HBsAg和HBeAg。

重要的是,该模型再现了慢性HBV感染的关键病理特征,包括肝细胞功能基因(如ALB和CYP3A4)的下调以及纤维化相关标志物(如COL1A1)的诱导,反映了早期细胞外基质重塑。此外,结果表明该平台在抗病毒药物评价中的实用性。替诺福韦治疗有效降低了病毒DNA和抗原产生,但不影响cccDNA水平,而布列韦替德则表现出阶段特异性的病毒入侵抑制作用,凸显了该模型在解析作用机制差异方面的能力。同时,药物诱导的肝毒性也在同一系统中进行了评估。

总体而言,这种hiPSC衍生的肝类器官模型提供了一个可扩展且生理相关的平台,弥合了传统细胞培养与体内系统之间的差距,为研究HBV发病机制、宿主-病毒相互作用以及临床前抗病毒药物发现提供了强有力的工具。

2

novelty

1. 建立hiPSC来源的多谱系肝类器官系统,通过定向共分化策略同时获得肝实质细胞和非实质细胞,重现肝脏复杂微环境。

2. 实现完整HBV生命周期模拟,包括病毒入胞、复制、cccDNA形成、抗原分泌及感染性子代病毒产生,突破传统模型局限。

3. 类器官在感染条件下长期存活达20天以上,NTCP受体稳定高表达,可持续分泌HBsAg和HBeAg,为慢性感染研究提供平台。

4. 首次在肝类器官中重现HBV感染诱导的肝纤维化病理特征,表现为COL1A1上调和肝细胞功能基因下调,模拟早期细胞外基质重塑。

5. 构建抗病毒药物筛选与肝毒性评估一体化平台,可区分替诺福韦和bulevirtide的不同作用机制,实现药效与安全性同步评价。

3

background

科学背景与研究现状

乙型肝炎病毒(HBV)感染是全球重大公共卫生问题,约2.96亿人受累,可导致肝纤维化、肝硬化及肝细胞癌。然而,HBV研究长期受限于缺乏理想的体外感染模型。现有模型存在明显缺陷:动物模型因种属特异性难以模拟人类感染,且成本高、周期长、伦理争议大;肝癌细胞系(如HepG2)已发生肿瘤转化,无法反映正常肝细胞向癌变的病理进程;原代人肝细胞获取困难、扩增能力有限,难以开展大规模研究。近年来,人诱导多能干细胞(hiPSC)来源的肝类器官(HOs)因具有三维生理结构和肝脏特异性功能特征而备受关注。已有研究利用原代肝细胞或hiPSC分化肝细胞构建HBV感染模型,但现有类器官模型仍无法重现慢性感染后的病理进程,特别是肝纤维化等关键病变。因此,亟需建立能够同时支持持续病毒感染并呈现进行性纤维化重塑的人源类器官模型,以填补机制研究与药物开发之间的转化鸿沟。

4

approach

技术路线与实验方法

1. hiPSC培养与肝类器官分化:采用UC细胞系(P30-P37),在Matrigel包被培养皿中以mTeSR培养基维持未分化状态;通过定向共分化策略,保留部分中胚层细胞,经定形内胚层、肝母细胞阶段,最终诱导分化为多谱系肝类器官。

2. HBV病毒制备与感染:利用稳定转染完整HBV基因组的HepAD38细胞制备病毒储液;将分化25天的类器官以100-3000 GEq/cell剂量感染,采用4%聚乙二醇8000促进病毒吸附。

3. 病毒学检测:RT-qPCR定量pgRNA表达;提取总DNA,经质粒安全DNase处理后采用SYBR Green法检测cccDNA拷贝数;ELISA检测培养上清中HBsAg和HBeAg水平;免疫荧光观察HBcAg和HBsAg亚细胞定位。

4. 肝纤维化与功能评估:免疫荧光检测COL1A1表达评估纤维化程度;qPCR检测ALB、CYP3A4等肝细胞功能标志物mRNA水平。

5. 抗病毒药物评价:分别采用核苷类似物替诺福韦(5μM)和NTCP抑制剂bulevirtide(2-4μM)处理感染类器官,通过ELISA和qPCR分析病毒抗原及核酸水平变化,同步观察药物肝毒性。

5

results graph

结果图

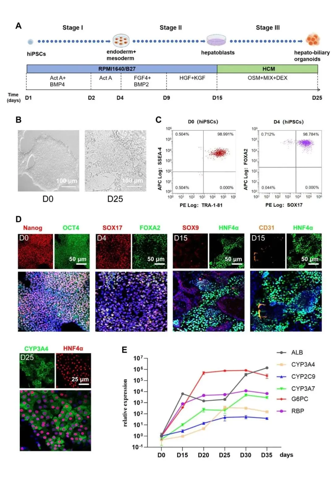
Figure 1展示了从hiPSC生成功能性肝类器官的全过程。图A为分化流程示意图,分为三个阶段共25天;图B显示第0天hiPSC和第25天肝类器官的形态学变化,后者呈现多边形肝细胞特征;图C通过流式细胞术验证第0天细胞表达SSEA4和TRA1-81 pluripotency标志物,第4天超过70%细胞共表达定形内胚层标志物SOX17和FOXA2;图D的免疫荧光结果显示第15天细胞表达双潜能肝母细胞标志物SOX9和HNF4α,同时CD31阳性内皮细胞显著增加,第25天检测到成熟肝细胞标志物CYP3A4和HNF4α;图E的qPCR分析证实第25天类器官稳定表达ALB、G6PC、RBP4及CYP3A4、CYP3A7、CYP2C9等肝脏特异性基因。

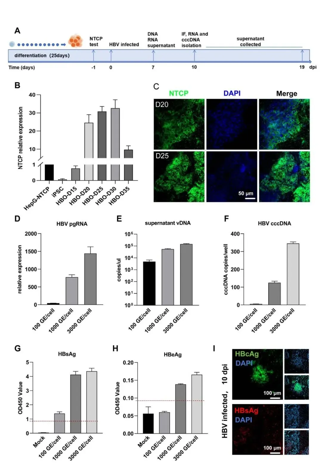
Figure 2呈现了hiPSC来源肝类器官中HBV感染模型的建立。图A为感染实验设计示意图;图B的RT-PCR结果显示类器官分化第20-25天NTCP表达水平显著高于HepG-puro-NTCP对照细胞;图C免疫荧光证实第20和25天类器官高表达NTCP蛋白;图D-F显示感染后7天,HBV pgRNA、上清vDNA和cccDNA水平随病毒剂量(100-3000 GEq/cell)呈剂量依赖性升高;图G-H的ELISA检测表明感染类器官可分泌HBeAg和HBsAg;图I免疫荧光显示感染后10天类器官中HBcAg呈核质分布、HBsAg呈胞质分布,证实病毒复制活跃。

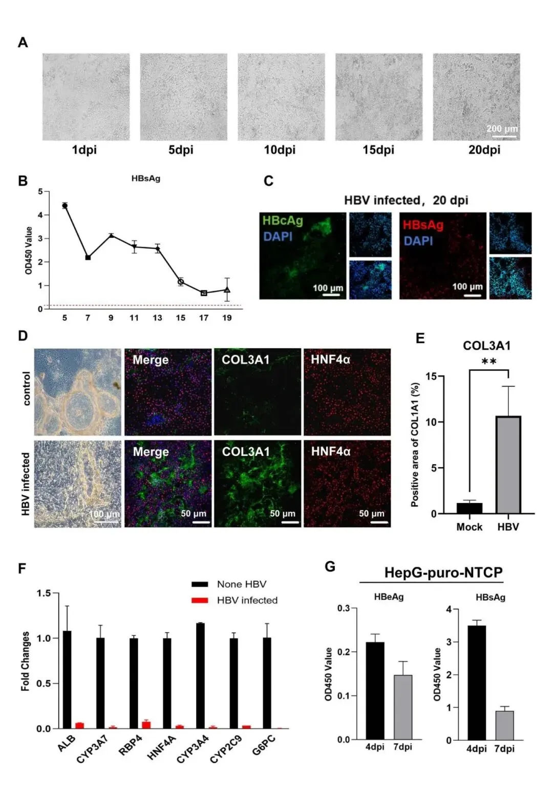
Figure 3证明肝类器官可在感染状态下长期存活并产生感染性病毒。图A明场图像显示类器官感染后1-20天保持良好存活状态;图B显示HBsAg在感染后至少19天内持续分泌;图C免疫荧光证实感染后20天仍可检测到HBcAg和HBsAg;图D-E显示感染后2周类器官中COL1A1表达显著高于对照组,提示纤维化样病理改变;图F的qPCR结果显示感染组ALB、CYP3A7、RBP4、HNF4α、CYP3A4、CYP2C9和G6PC等肝细胞功能基因mRNA水平显著降低,表明肝功能障碍;图G证实收集的感染类器官上清(10-20天)可感染HepG-puro-NTCP细胞并诱导HBeAg和HBsAg表达,证明子代病毒具有感染性。

Figure 4评估了HBV感染肝类器官作为抗病毒药物筛选平台的可行性。图A为药物治疗实验设计;图B明场图像显示10μM替诺福韦和4μM bulevirtide处理4天后类器官出现细胞活力下降表型;图C的ELISA结果显示5μM替诺福韦显著抑制HBeAg产生,感染前使用bulevirtide预处理可显著抑制HBeAg,而感染后处理无效;图D-F显示替诺福韦降低上清vDNA但不影响cccDNA和pgRNA水平,bulevirtide预处理显著降低cccDNA、pgRNA和vDNA,而感染后处理无抑制作用,证实该平台可区分不同作用机制的抗病毒药物并同步评估肝毒性。

原文链接

https://pubmed.ncbi.nlm.nih.gov/41882877/

版权声明

标注‘原创’仅代表原创编译,本平台不主张对原文的版权。本平台转载仅出于学术交流和传播信息的需要,不代表本平台观点或证实其内容的真实性。原文版权归原作者所有,作者如不希望被转载或有侵权行为,请联系本平台删除。

最新文章

随机文章

基本 文件 流程 错误 SQL 调试
  1. 请求信息 : 2026-04-09 22:37:45 HTTP/2.0 GET : https://c.460.net.cn/a/539880.html
  2. 运行时间 : 0.217894s [ 吞吐率:4.59req/s ] 内存消耗:4,619.82kb 文件加载:140
  3. 缓存信息 : 0 reads,0 writes
  4. 会话信息 : SESSION_ID=4e95852838c1ee835e26cfbc3929e584
  1. /yingpanguazai/ssd/ssd1/www/c.460.net.cn/public/index.php ( 0.79 KB )
  2. /yingpanguazai/ssd/ssd1/www/c.460.net.cn/vendor/autoload.php ( 0.17 KB )
  3. /yingpanguazai/ssd/ssd1/www/c.460.net.cn/vendor/composer/autoload_real.php ( 2.49 KB )
  4. /yingpanguazai/ssd/ssd1/www/c.460.net.cn/vendor/composer/platform_check.php ( 0.90 KB )
  5. /yingpanguazai/ssd/ssd1/www/c.460.net.cn/vendor/composer/ClassLoader.php ( 14.03 KB )
  6. /yingpanguazai/ssd/ssd1/www/c.460.net.cn/vendor/composer/autoload_static.php ( 4.90 KB )
  7. /yingpanguazai/ssd/ssd1/www/c.460.net.cn/vendor/topthink/think-helper/src/helper.php ( 8.34 KB )
  8. /yingpanguazai/ssd/ssd1/www/c.460.net.cn/vendor/topthink/think-validate/src/helper.php ( 2.19 KB )
  9. /yingpanguazai/ssd/ssd1/www/c.460.net.cn/vendor/topthink/think-orm/src/helper.php ( 1.47 KB )
  10. /yingpanguazai/ssd/ssd1/www/c.460.net.cn/vendor/topthink/think-orm/stubs/load_stubs.php ( 0.16 KB )
  11. /yingpanguazai/ssd/ssd1/www/c.460.net.cn/vendor/topthink/framework/src/think/Exception.php ( 1.69 KB )
  12. /yingpanguazai/ssd/ssd1/www/c.460.net.cn/vendor/topthink/think-container/src/Facade.php ( 2.71 KB )
  13. /yingpanguazai/ssd/ssd1/www/c.460.net.cn/vendor/symfony/deprecation-contracts/function.php ( 0.99 KB )
  14. /yingpanguazai/ssd/ssd1/www/c.460.net.cn/vendor/symfony/polyfill-mbstring/bootstrap.php ( 8.26 KB )
  15. /yingpanguazai/ssd/ssd1/www/c.460.net.cn/vendor/symfony/polyfill-mbstring/bootstrap80.php ( 9.78 KB )
  16. /yingpanguazai/ssd/ssd1/www/c.460.net.cn/vendor/symfony/var-dumper/Resources/functions/dump.php ( 1.49 KB )
  17. /yingpanguazai/ssd/ssd1/www/c.460.net.cn/vendor/topthink/think-dumper/src/helper.php ( 0.18 KB )
  18. /yingpanguazai/ssd/ssd1/www/c.460.net.cn/vendor/symfony/var-dumper/VarDumper.php ( 4.30 KB )
  19. /yingpanguazai/ssd/ssd1/www/c.460.net.cn/vendor/topthink/framework/src/think/App.php ( 15.30 KB )
  20. /yingpanguazai/ssd/ssd1/www/c.460.net.cn/vendor/topthink/think-container/src/Container.php ( 15.76 KB )
  21. /yingpanguazai/ssd/ssd1/www/c.460.net.cn/vendor/psr/container/src/ContainerInterface.php ( 1.02 KB )
  22. /yingpanguazai/ssd/ssd1/www/c.460.net.cn/app/provider.php ( 0.19 KB )
  23. /yingpanguazai/ssd/ssd1/www/c.460.net.cn/vendor/topthink/framework/src/think/Http.php ( 6.04 KB )
  24. /yingpanguazai/ssd/ssd1/www/c.460.net.cn/vendor/topthink/think-helper/src/helper/Str.php ( 7.29 KB )
  25. /yingpanguazai/ssd/ssd1/www/c.460.net.cn/vendor/topthink/framework/src/think/Env.php ( 4.68 KB )
  26. /yingpanguazai/ssd/ssd1/www/c.460.net.cn/app/common.php ( 0.03 KB )
  27. /yingpanguazai/ssd/ssd1/www/c.460.net.cn/vendor/topthink/framework/src/helper.php ( 18.78 KB )
  28. /yingpanguazai/ssd/ssd1/www/c.460.net.cn/vendor/topthink/framework/src/think/Config.php ( 5.54 KB )
  29. /yingpanguazai/ssd/ssd1/www/c.460.net.cn/config/app.php ( 0.95 KB )
  30. /yingpanguazai/ssd/ssd1/www/c.460.net.cn/config/cache.php ( 0.78 KB )
  31. /yingpanguazai/ssd/ssd1/www/c.460.net.cn/config/console.php ( 0.23 KB )
  32. /yingpanguazai/ssd/ssd1/www/c.460.net.cn/config/cookie.php ( 0.56 KB )
  33. /yingpanguazai/ssd/ssd1/www/c.460.net.cn/config/database.php ( 2.47 KB )
  34. /yingpanguazai/ssd/ssd1/www/c.460.net.cn/vendor/topthink/framework/src/think/facade/Env.php ( 1.67 KB )
  35. /yingpanguazai/ssd/ssd1/www/c.460.net.cn/config/filesystem.php ( 0.61 KB )
  36. /yingpanguazai/ssd/ssd1/www/c.460.net.cn/config/lang.php ( 0.91 KB )
  37. /yingpanguazai/ssd/ssd1/www/c.460.net.cn/config/log.php ( 1.35 KB )
  38. /yingpanguazai/ssd/ssd1/www/c.460.net.cn/config/middleware.php ( 0.19 KB )
  39. /yingpanguazai/ssd/ssd1/www/c.460.net.cn/config/route.php ( 1.89 KB )
  40. /yingpanguazai/ssd/ssd1/www/c.460.net.cn/config/session.php ( 0.57 KB )
  41. /yingpanguazai/ssd/ssd1/www/c.460.net.cn/config/trace.php ( 0.34 KB )
  42. /yingpanguazai/ssd/ssd1/www/c.460.net.cn/config/view.php ( 0.82 KB )
  43. /yingpanguazai/ssd/ssd1/www/c.460.net.cn/app/event.php ( 0.25 KB )
  44. /yingpanguazai/ssd/ssd1/www/c.460.net.cn/vendor/topthink/framework/src/think/Event.php ( 7.67 KB )
  45. /yingpanguazai/ssd/ssd1/www/c.460.net.cn/app/service.php ( 0.13 KB )
  46. /yingpanguazai/ssd/ssd1/www/c.460.net.cn/app/AppService.php ( 0.26 KB )
  47. /yingpanguazai/ssd/ssd1/www/c.460.net.cn/vendor/topthink/framework/src/think/Service.php ( 1.64 KB )
  48. /yingpanguazai/ssd/ssd1/www/c.460.net.cn/vendor/topthink/framework/src/think/Lang.php ( 7.35 KB )
  49. /yingpanguazai/ssd/ssd1/www/c.460.net.cn/vendor/topthink/framework/src/lang/zh-cn.php ( 13.70 KB )
  50. /yingpanguazai/ssd/ssd1/www/c.460.net.cn/vendor/topthink/framework/src/think/initializer/Error.php ( 3.31 KB )
  51. /yingpanguazai/ssd/ssd1/www/c.460.net.cn/vendor/topthink/framework/src/think/initializer/RegisterService.php ( 1.33 KB )
  52. /yingpanguazai/ssd/ssd1/www/c.460.net.cn/vendor/services.php ( 0.14 KB )
  53. /yingpanguazai/ssd/ssd1/www/c.460.net.cn/vendor/topthink/framework/src/think/service/PaginatorService.php ( 1.52 KB )
  54. /yingpanguazai/ssd/ssd1/www/c.460.net.cn/vendor/topthink/framework/src/think/service/ValidateService.php ( 0.99 KB )
  55. /yingpanguazai/ssd/ssd1/www/c.460.net.cn/vendor/topthink/framework/src/think/service/ModelService.php ( 2.04 KB )
  56. /yingpanguazai/ssd/ssd1/www/c.460.net.cn/vendor/topthink/think-trace/src/Service.php ( 0.77 KB )
  57. /yingpanguazai/ssd/ssd1/www/c.460.net.cn/vendor/topthink/framework/src/think/Middleware.php ( 6.72 KB )
  58. /yingpanguazai/ssd/ssd1/www/c.460.net.cn/vendor/topthink/framework/src/think/initializer/BootService.php ( 0.77 KB )
  59. /yingpanguazai/ssd/ssd1/www/c.460.net.cn/vendor/topthink/think-orm/src/Paginator.php ( 11.86 KB )
  60. /yingpanguazai/ssd/ssd1/www/c.460.net.cn/vendor/topthink/think-validate/src/Validate.php ( 63.20 KB )
  61. /yingpanguazai/ssd/ssd1/www/c.460.net.cn/vendor/topthink/think-orm/src/Model.php ( 23.55 KB )
  62. /yingpanguazai/ssd/ssd1/www/c.460.net.cn/vendor/topthink/think-orm/src/model/concern/Attribute.php ( 21.05 KB )
  63. /yingpanguazai/ssd/ssd1/www/c.460.net.cn/vendor/topthink/think-orm/src/model/concern/AutoWriteData.php ( 4.21 KB )
  64. /yingpanguazai/ssd/ssd1/www/c.460.net.cn/vendor/topthink/think-orm/src/model/concern/Conversion.php ( 6.44 KB )
  65. /yingpanguazai/ssd/ssd1/www/c.460.net.cn/vendor/topthink/think-orm/src/model/concern/DbConnect.php ( 5.16 KB )
  66. /yingpanguazai/ssd/ssd1/www/c.460.net.cn/vendor/topthink/think-orm/src/model/concern/ModelEvent.php ( 2.33 KB )
  67. /yingpanguazai/ssd/ssd1/www/c.460.net.cn/vendor/topthink/think-orm/src/model/concern/RelationShip.php ( 28.29 KB )
  68. /yingpanguazai/ssd/ssd1/www/c.460.net.cn/vendor/topthink/think-helper/src/contract/Arrayable.php ( 0.09 KB )
  69. /yingpanguazai/ssd/ssd1/www/c.460.net.cn/vendor/topthink/think-helper/src/contract/Jsonable.php ( 0.13 KB )
  70. /yingpanguazai/ssd/ssd1/www/c.460.net.cn/vendor/topthink/think-orm/src/model/contract/Modelable.php ( 0.09 KB )
  71. /yingpanguazai/ssd/ssd1/www/c.460.net.cn/vendor/topthink/framework/src/think/Db.php ( 2.88 KB )
  72. /yingpanguazai/ssd/ssd1/www/c.460.net.cn/vendor/topthink/think-orm/src/DbManager.php ( 8.52 KB )
  73. /yingpanguazai/ssd/ssd1/www/c.460.net.cn/vendor/topthink/framework/src/think/Log.php ( 6.28 KB )
  74. /yingpanguazai/ssd/ssd1/www/c.460.net.cn/vendor/topthink/framework/src/think/Manager.php ( 3.92 KB )
  75. /yingpanguazai/ssd/ssd1/www/c.460.net.cn/vendor/psr/log/src/LoggerTrait.php ( 2.69 KB )
  76. /yingpanguazai/ssd/ssd1/www/c.460.net.cn/vendor/psr/log/src/LoggerInterface.php ( 2.71 KB )
  77. /yingpanguazai/ssd/ssd1/www/c.460.net.cn/vendor/topthink/framework/src/think/Cache.php ( 4.92 KB )
  78. /yingpanguazai/ssd/ssd1/www/c.460.net.cn/vendor/psr/simple-cache/src/CacheInterface.php ( 4.71 KB )
  79. /yingpanguazai/ssd/ssd1/www/c.460.net.cn/vendor/topthink/think-helper/src/helper/Arr.php ( 16.63 KB )
  80. /yingpanguazai/ssd/ssd1/www/c.460.net.cn/vendor/topthink/framework/src/think/cache/driver/File.php ( 7.84 KB )
  81. /yingpanguazai/ssd/ssd1/www/c.460.net.cn/vendor/topthink/framework/src/think/cache/Driver.php ( 9.03 KB )
  82. /yingpanguazai/ssd/ssd1/www/c.460.net.cn/vendor/topthink/framework/src/think/contract/CacheHandlerInterface.php ( 1.99 KB )
  83. /yingpanguazai/ssd/ssd1/www/c.460.net.cn/app/Request.php ( 0.09 KB )
  84. /yingpanguazai/ssd/ssd1/www/c.460.net.cn/vendor/topthink/framework/src/think/Request.php ( 55.78 KB )
  85. /yingpanguazai/ssd/ssd1/www/c.460.net.cn/app/middleware.php ( 0.25 KB )
  86. /yingpanguazai/ssd/ssd1/www/c.460.net.cn/vendor/topthink/framework/src/think/Pipeline.php ( 2.61 KB )
  87. /yingpanguazai/ssd/ssd1/www/c.460.net.cn/vendor/topthink/think-trace/src/TraceDebug.php ( 3.40 KB )
  88. /yingpanguazai/ssd/ssd1/www/c.460.net.cn/vendor/topthink/framework/src/think/middleware/SessionInit.php ( 1.94 KB )
  89. /yingpanguazai/ssd/ssd1/www/c.460.net.cn/vendor/topthink/framework/src/think/Session.php ( 1.80 KB )
  90. /yingpanguazai/ssd/ssd1/www/c.460.net.cn/vendor/topthink/framework/src/think/session/driver/File.php ( 6.27 KB )
  91. /yingpanguazai/ssd/ssd1/www/c.460.net.cn/vendor/topthink/framework/src/think/contract/SessionHandlerInterface.php ( 0.87 KB )
  92. /yingpanguazai/ssd/ssd1/www/c.460.net.cn/vendor/topthink/framework/src/think/session/Store.php ( 7.12 KB )
  93. /yingpanguazai/ssd/ssd1/www/c.460.net.cn/vendor/topthink/framework/src/think/Route.php ( 23.73 KB )
  94. /yingpanguazai/ssd/ssd1/www/c.460.net.cn/vendor/topthink/framework/src/think/route/RuleName.php ( 5.75 KB )
  95. /yingpanguazai/ssd/ssd1/www/c.460.net.cn/vendor/topthink/framework/src/think/route/Domain.php ( 2.53 KB )
  96. /yingpanguazai/ssd/ssd1/www/c.460.net.cn/vendor/topthink/framework/src/think/route/RuleGroup.php ( 22.43 KB )
  97. /yingpanguazai/ssd/ssd1/www/c.460.net.cn/vendor/topthink/framework/src/think/route/Rule.php ( 26.95 KB )
  98. /yingpanguazai/ssd/ssd1/www/c.460.net.cn/vendor/topthink/framework/src/think/route/RuleItem.php ( 9.78 KB )
  99. /yingpanguazai/ssd/ssd1/www/c.460.net.cn/route/app.php ( 1.72 KB )
  100. /yingpanguazai/ssd/ssd1/www/c.460.net.cn/vendor/topthink/framework/src/think/facade/Route.php ( 4.70 KB )
  101. /yingpanguazai/ssd/ssd1/www/c.460.net.cn/vendor/topthink/framework/src/think/route/dispatch/Controller.php ( 4.74 KB )
  102. /yingpanguazai/ssd/ssd1/www/c.460.net.cn/vendor/topthink/framework/src/think/route/Dispatch.php ( 10.44 KB )
  103. /yingpanguazai/ssd/ssd1/www/c.460.net.cn/app/controller/Index.php ( 4.81 KB )
  104. /yingpanguazai/ssd/ssd1/www/c.460.net.cn/app/BaseController.php ( 2.05 KB )
  105. /yingpanguazai/ssd/ssd1/www/c.460.net.cn/vendor/topthink/think-orm/src/facade/Db.php ( 0.93 KB )
  106. /yingpanguazai/ssd/ssd1/www/c.460.net.cn/vendor/topthink/think-orm/src/db/connector/Mysql.php ( 5.44 KB )
  107. /yingpanguazai/ssd/ssd1/www/c.460.net.cn/vendor/topthink/think-orm/src/db/PDOConnection.php ( 52.47 KB )
  108. /yingpanguazai/ssd/ssd1/www/c.460.net.cn/vendor/topthink/think-orm/src/db/Connection.php ( 8.39 KB )
  109. /yingpanguazai/ssd/ssd1/www/c.460.net.cn/vendor/topthink/think-orm/src/db/ConnectionInterface.php ( 4.57 KB )
  110. /yingpanguazai/ssd/ssd1/www/c.460.net.cn/vendor/topthink/think-orm/src/db/builder/Mysql.php ( 16.58 KB )
  111. /yingpanguazai/ssd/ssd1/www/c.460.net.cn/vendor/topthink/think-orm/src/db/Builder.php ( 24.06 KB )
  112. /yingpanguazai/ssd/ssd1/www/c.460.net.cn/vendor/topthink/think-orm/src/db/BaseBuilder.php ( 27.50 KB )
  113. /yingpanguazai/ssd/ssd1/www/c.460.net.cn/vendor/topthink/think-orm/src/db/Query.php ( 15.71 KB )
  114. /yingpanguazai/ssd/ssd1/www/c.460.net.cn/vendor/topthink/think-orm/src/db/BaseQuery.php ( 45.13 KB )
  115. /yingpanguazai/ssd/ssd1/www/c.460.net.cn/vendor/topthink/think-orm/src/db/concern/TimeFieldQuery.php ( 7.43 KB )
  116. /yingpanguazai/ssd/ssd1/www/c.460.net.cn/vendor/topthink/think-orm/src/db/concern/AggregateQuery.php ( 3.26 KB )
  117. /yingpanguazai/ssd/ssd1/www/c.460.net.cn/vendor/topthink/think-orm/src/db/concern/ModelRelationQuery.php ( 20.07 KB )
  118. /yingpanguazai/ssd/ssd1/www/c.460.net.cn/vendor/topthink/think-orm/src/db/concern/ParamsBind.php ( 3.66 KB )
  119. /yingpanguazai/ssd/ssd1/www/c.460.net.cn/vendor/topthink/think-orm/src/db/concern/ResultOperation.php ( 7.01 KB )
  120. /yingpanguazai/ssd/ssd1/www/c.460.net.cn/vendor/topthink/think-orm/src/db/concern/WhereQuery.php ( 19.37 KB )
  121. /yingpanguazai/ssd/ssd1/www/c.460.net.cn/vendor/topthink/think-orm/src/db/concern/JoinAndViewQuery.php ( 7.11 KB )
  122. /yingpanguazai/ssd/ssd1/www/c.460.net.cn/vendor/topthink/think-orm/src/db/concern/TableFieldInfo.php ( 2.63 KB )
  123. /yingpanguazai/ssd/ssd1/www/c.460.net.cn/vendor/topthink/think-orm/src/db/concern/Transaction.php ( 2.77 KB )
  124. /yingpanguazai/ssd/ssd1/www/c.460.net.cn/vendor/topthink/framework/src/think/log/driver/File.php ( 5.96 KB )
  125. /yingpanguazai/ssd/ssd1/www/c.460.net.cn/vendor/topthink/framework/src/think/contract/LogHandlerInterface.php ( 0.86 KB )
  126. /yingpanguazai/ssd/ssd1/www/c.460.net.cn/vendor/topthink/framework/src/think/log/Channel.php ( 3.89 KB )
  127. /yingpanguazai/ssd/ssd1/www/c.460.net.cn/vendor/topthink/framework/src/think/event/LogRecord.php ( 1.02 KB )
  128. /yingpanguazai/ssd/ssd1/www/c.460.net.cn/vendor/topthink/think-helper/src/Collection.php ( 16.47 KB )
  129. /yingpanguazai/ssd/ssd1/www/c.460.net.cn/vendor/topthink/framework/src/think/facade/View.php ( 1.70 KB )
  130. /yingpanguazai/ssd/ssd1/www/c.460.net.cn/vendor/topthink/framework/src/think/View.php ( 4.39 KB )
  131. /yingpanguazai/ssd/ssd1/www/c.460.net.cn/vendor/topthink/framework/src/think/Response.php ( 8.81 KB )
  132. /yingpanguazai/ssd/ssd1/www/c.460.net.cn/vendor/topthink/framework/src/think/response/View.php ( 3.29 KB )
  133. /yingpanguazai/ssd/ssd1/www/c.460.net.cn/vendor/topthink/framework/src/think/Cookie.php ( 6.06 KB )
  134. /yingpanguazai/ssd/ssd1/www/c.460.net.cn/vendor/topthink/think-view/src/Think.php ( 8.38 KB )
  135. /yingpanguazai/ssd/ssd1/www/c.460.net.cn/vendor/topthink/framework/src/think/contract/TemplateHandlerInterface.php ( 1.60 KB )
  136. /yingpanguazai/ssd/ssd1/www/c.460.net.cn/vendor/topthink/think-template/src/Template.php ( 46.61 KB )
  137. /yingpanguazai/ssd/ssd1/www/c.460.net.cn/vendor/topthink/think-template/src/template/driver/File.php ( 2.41 KB )
  138. /yingpanguazai/ssd/ssd1/www/c.460.net.cn/vendor/topthink/think-template/src/template/contract/DriverInterface.php ( 0.86 KB )
  139. /yingpanguazai/ssd/ssd1/www/c.460.net.cn/runtime/temp/a3df6b94aede6ebd0d2926ccdfcd20d5.php ( 11.98 KB )
  140. /yingpanguazai/ssd/ssd1/www/c.460.net.cn/vendor/topthink/think-trace/src/Html.php ( 4.42 KB )
  1. CONNECT:[ UseTime:0.000804s ] mysql:host=127.0.0.1;port=3306;dbname=c460;charset=utf8mb4
  2. SHOW FULL COLUMNS FROM `fenlei` [ RunTime:0.000698s ]
  3. SELECT * FROM `fenlei` WHERE `fid` = 0 [ RunTime:0.000699s ]
  4. SELECT * FROM `fenlei` WHERE `fid` = 63 [ RunTime:0.000298s ]
  5. SHOW FULL COLUMNS FROM `set` [ RunTime:0.000507s ]
  6. SELECT * FROM `set` [ RunTime:0.000279s ]
  7. SHOW FULL COLUMNS FROM `article` [ RunTime:0.000621s ]
  8. SELECT * FROM `article` WHERE `id` = 539880 LIMIT 1 [ RunTime:0.000459s ]
  9. UPDATE `article` SET `lasttime` = 1775745466 WHERE `id` = 539880 [ RunTime:0.006606s ]
  10. SELECT * FROM `fenlei` WHERE `id` = 64 LIMIT 1 [ RunTime:0.007035s ]
  11. SELECT * FROM `article` WHERE `id` < 539880 ORDER BY `id` DESC LIMIT 1 [ RunTime:0.004443s ]
  12. SELECT * FROM `article` WHERE `id` > 539880 ORDER BY `id` ASC LIMIT 1 [ RunTime:0.010801s ]
  13. SELECT * FROM `article` WHERE `id` < 539880 ORDER BY `id` DESC LIMIT 10 [ RunTime:0.001025s ]
  14. SELECT * FROM `article` WHERE `id` < 539880 ORDER BY `id` DESC LIMIT 10,10 [ RunTime:0.004605s ]
  15. SELECT * FROM `article` WHERE `id` < 539880 ORDER BY `id` DESC LIMIT 20,10 [ RunTime:0.001194s ]
0.219557s