

扫码报名
组织单位:
齿学堂 品圣医疗 派生生物
报名联系:
18361831107 王老师
18961068956 郭老师
讲师介绍:
张晓光
硕士,资深副主任医师
隐适美中国区讲师
日本IPOI牙周专科认证医师
英格兰皇家外科学院正畸专科院士
中国非公医疗首届正畸专委会委员
中国非公医疗首届牙体专委会常务委员
中华口腔医学会民营分会青年委员
安徽省牙周、美学、民营专业委员会委员
2024年隐适美优秀全球病例库入选病例数全国第三
隐适美(菁英医师)、时代天使、正雅等认证医师
原安徽省口腔医院(安徽医科大学附属口腔医院)专家
牙医公园示范牙医,诺贝尔复杂种植认证医师
发表核心学术期刊数篇,新型实用型发明专利一项
擅长错合畸形矫正,复杂牙拔除术,牙种植技术,极端条件下的牙齿保留术,冠根一体化,微创美学修复以及复杂病例的综合治疗。
课程大纲:
第一天(理论)
1.自体牙移植的概念和分类;
2.自体牙移植在牙列缺损修复中的优势;
3.口腔医生学习自体牙移植的显著优势;
4.自体牙移植的发展史及其展望;
5. 自体牙移植的适应症和禁忌症及其把控;
6. 如何根据自身技能做好病例的选择;
7. 自体牙移植成功的理论基础;
8. 自体牙移植的术前检查、评估和准备;
9. 自体移植供牙选择原则;
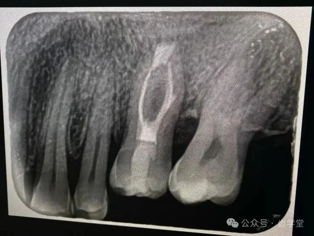
10.自体牙移植的详细步骤;
11.3D供牙模型的打印及使用技巧;
12.供牙微创拔除的操作要点详解;
13.受植位点不同情况移植的区别及其要点;
14.自体牙移植术中软组织封闭的重要性和方法;
15.自体牙移植术中初期稳定性的重要性和方法;
16.各类自体牙移植后的牙髓管理;
17.牙周膜保护在自体牙移植的重要性;
18.供牙体外处理与否的掌控;
19.自体牙移植与其他牙列缺损修复的比较;
第一天晚上(实操)
1.供牙八字法微创拔除技巧,牙周膜保护的方法及疑难复杂供牙术前处理方法(术前正畸类);
2.受植区患牙拔除方法,受植窝精准预备方法;
3.牙龈软组织严密封闭的重要性及缝合方法;
4.移植牙初期稳定性的重要性及固定方法
5.术后拆除固定装置及管理;
6.术后根管治疗及方法;
第二天(理论)
20.牙根发育完成供牙的移植后管理;
21.牙根未发育完成供牙的移植后管理;
22.自体牙移植与正畸治疗的密切关系;
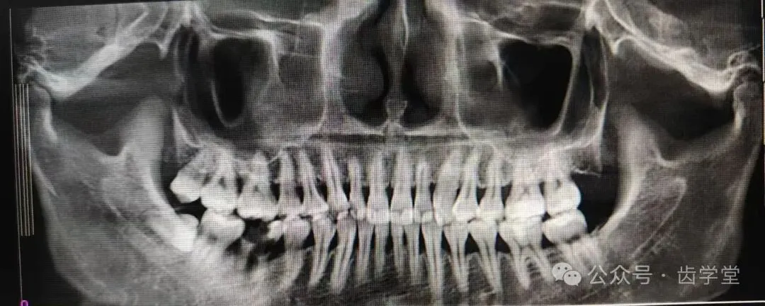
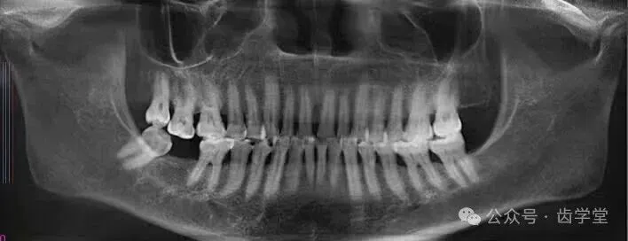
23.阻生供牙拔除注意事项;
24.发育中的供牙选择;
25.自体牙移植成功的关键点详解;
26.上颌后牙窦嵴距不足时处理方法;
27.下颌后牙管嵴距不足时处理方法;
28.牙槽内移植详解;
29.意向性再植详解;
30.大量文献解读;
31.大量视频分享;
32.自体牙移植术后注意事项;
33.自体牙移植术中常见并发症及处理;
34.自体牙移植术后常见并发症及处理;
35.自体牙移植评价标准。







【收费标准】
课程费用:2200元/人
提前报名:2000元/人
三人团购:1800元/人
“齿学堂”老学员福利价1800元/人
备注:不接受现场报名 ,此价格为税前价,开票需另外收6%的税点。
【培训说明】
1) 培训当天报到(时间以群通知为准);
2) 按汇款先后顺序安排座位;3) 学习中允许拍照,禁止摄像、录音;4) 禁止正式学员携带其他人进入会场;5) 因个人原因或疫情影响无法参加本次培训班,开课前15日内不可退费,可转下一期。
微信公众号:chi-xue-tang
扫码关注 获得更多精彩
本公司对外合作联系:18361831107
投稿邮箱:chixuetang@163.com